info@poolervet.com

My pet needs a dental cleaning, tooth extractions
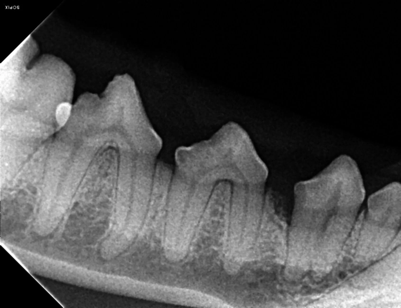
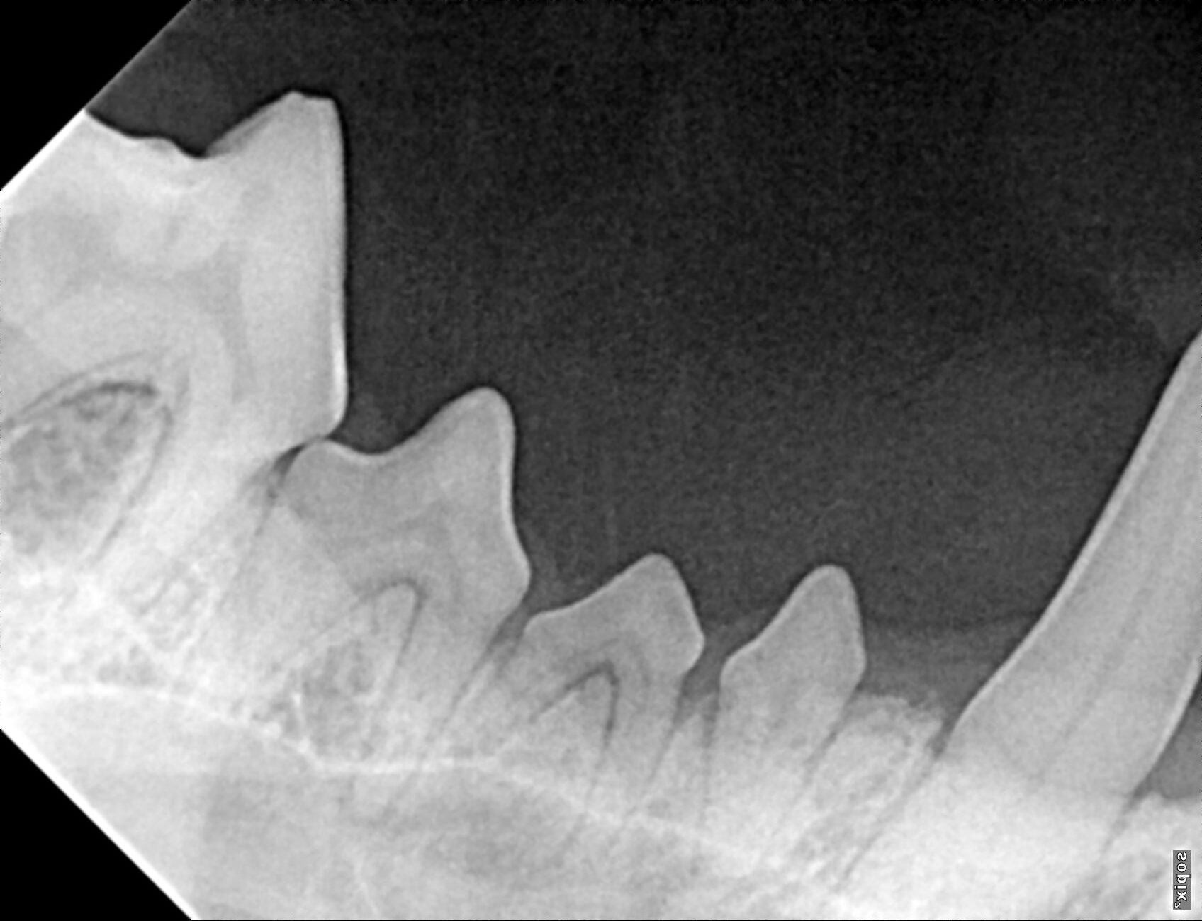
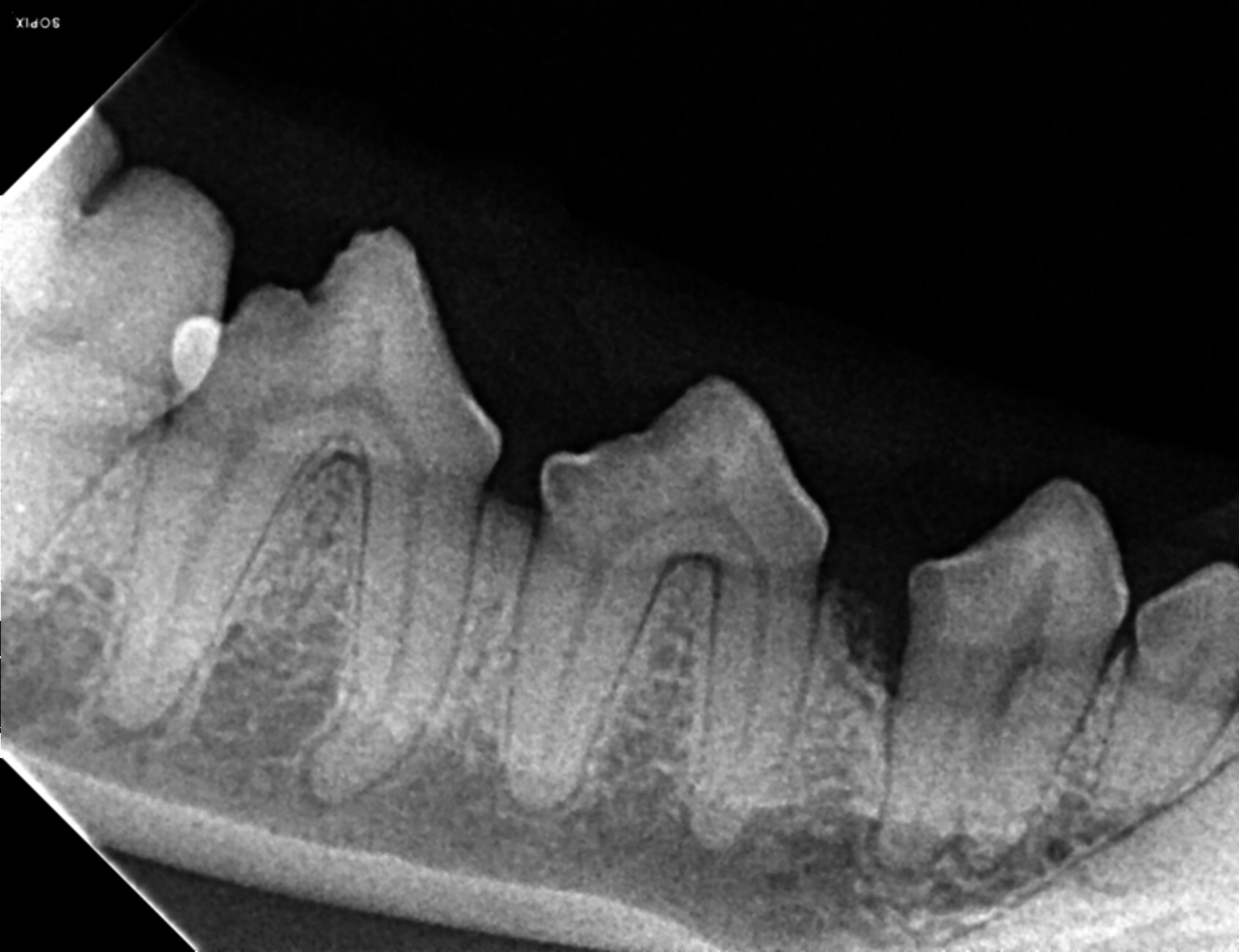
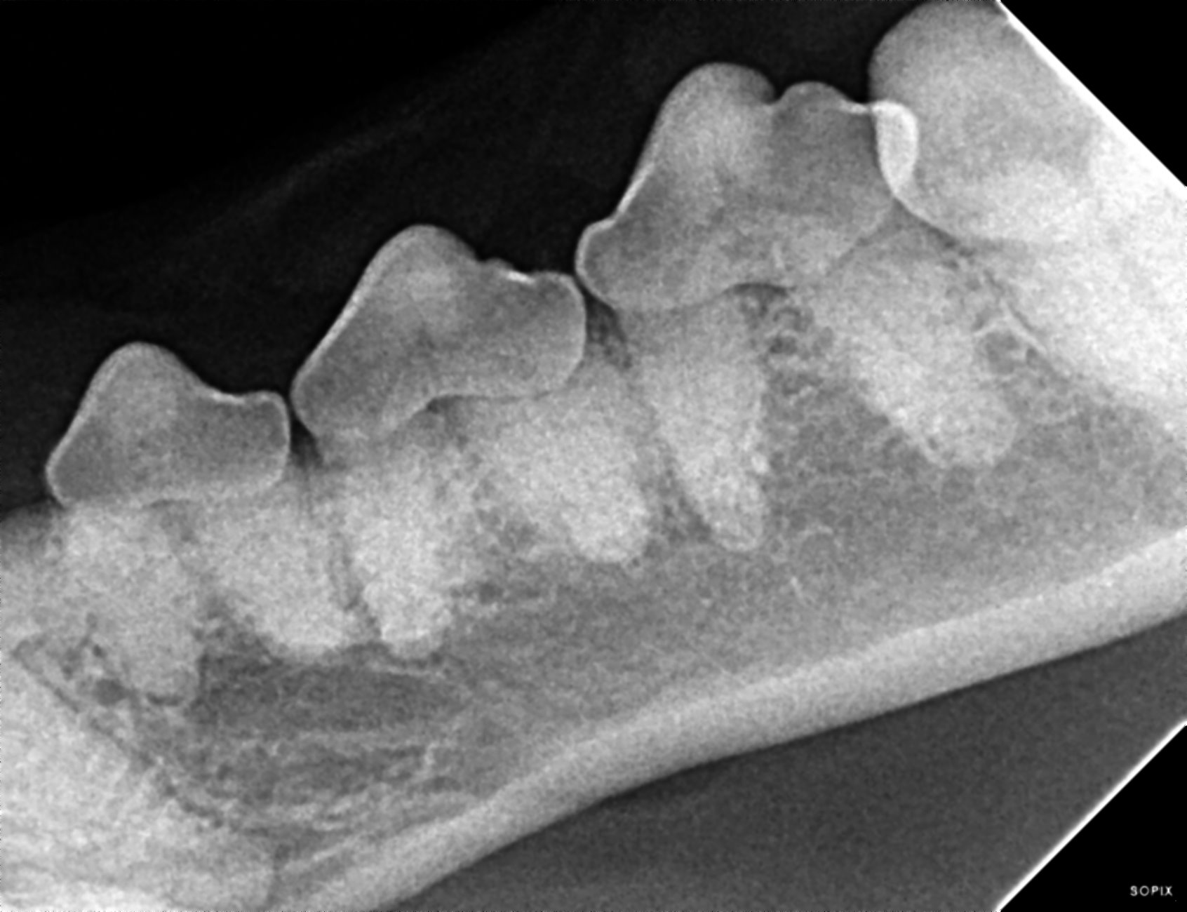
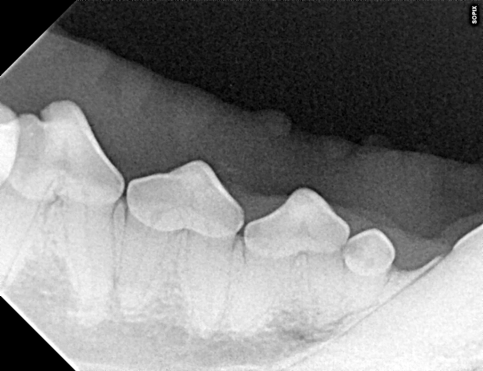
The prophylactic dental includes x-rays of all the teeth, ultrasonic scaling of the plaque and tartar from the teeth, polishing, and fluoride treatment. It is impossible to determine the full extent of dentistry your pet needs until they are under anesthesia and we can examine each tooth individually, but we can give an estimate of your pets dental status and needs during your routine exam.
We all love kisses from our fur babies, but sometimes the odor can be too much. The odor is a result of bacteria and plaque that accumulate on our pet’s teeth and lead to inflamed gums, periodontal infections, and in severe cases, abscessed teeth. We prefer to be proactive and perform routine cleanings every 1-2 years. When dental disease goes unnoticed and untreated, it can lead to bacteremia or bacteria entering the bloodstream. Once this occurs, it can cause irreversible damage to internal organs like the heart and kidney or can seed infection in the joints and spine. We don’t often think about it, but our dentist recommends we brush our teeth two or three times a day, then have a prophylactic dental cleaning every 6 months to prevent the conditions we just mentioned.

We place a strong emphasis on the pre-dental planning and communication to provide a safe and comfortable anesthetic experience and dental cleaning. We provide pre-anesthetic medications to help your pet relax, intravenous fluids for cardiovascular support, and start pain control before the procedure ever begins. Your pet will have three designated surgery team members monitoring them at all times while they are in our hospital. We will communicate with you in detail upon arrival, directly after the procedure is complete, then again at the time of discharge from our hospital. Constant communication between our staff and you, the client, is ensured to make sure your pet is well cared for through the entire process. Appropriate pain control is always provided, if necessary, following the procedure to make sure everyone is comfortable at home.






Veterinary Services
Below is a list of the most common veterinary services we offer at Pooler Veterinary Hospital. If you have any questions regarding our services, please feel free to call us.

Ready To Visit Us?
We proudly serve the pets of Pooler, Bloomingdale, Savannah, Port Wentworth, Guyton,
Chatham County, GA and the surrounding areas. At every stage of your pet’s life, we are dedicated to giving
them veterinary treatment of the highest quality.
